Όψεις Πορσελάνης & Ρητίνης
αποκατάσταση αισθητικής
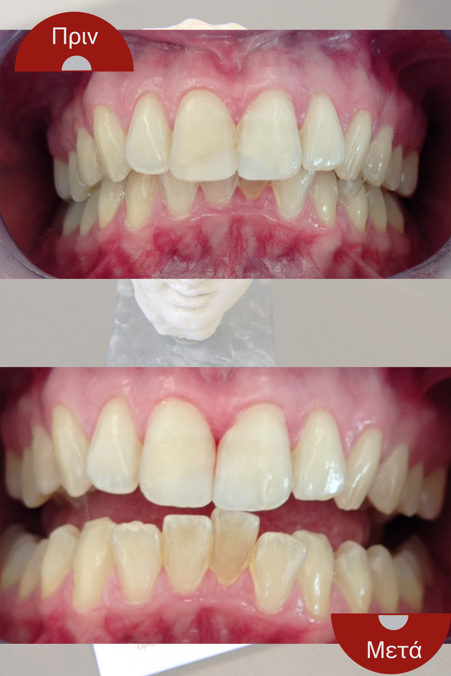
Θέλετε να βελτιώσετε το χαμόγελο σας, κρύψετε τυχόν ατέλειες , είτε στριγμωμένα ή στραβά δοντάκια ~ συνωστισμό δοντιών ~ , αλλά δεν θέλετε να μπείτε στη διαδικασία της ορθοδοντικής θεραπείας ;
Τότε σας έχουμε την λύση, με τις λεγόμενες όψεις ρητίνης, οικονομικά, αισθητικά πλήρως, αισθητικά και πλήρως εναρμονισμένα με ένα άρτιο φυσικό χαμόγελο για εσάς από εμάς , με αυτοπεποίθηση και καρδιά!
Πώς το κάνουμε, ρωτάτε και εμείς σας έχουμε ήδη έτοιμη την απάντηση !

Στο πρώτο μας ραντεβού, επικοινωνούμε τις ανάγκες σας, προσδοκίες και διαδικασία των ραντεβού σε χρονοδιάγραμμα και δική σας ηρεμία, χρόνο και άνεση.
Λαμβάνουμε ‘’ μέτρα ‘’ , ~ αποτυπώματα ~ , και σας δείχνουμε το αποτέλεσμα στο επόμενο ραντεβού εργαστηριακά με το λεγόμενο mock up ~ κέρωμα δοντιών ~ σε γύψινο αντίγραφο.
Συμφωνούμε με χαμόγελο και αυτοπεποίθηση και προχωράμε να δώσουμε ζωή στο θέλω σας!
Τόσο απλά!
7x5pjg85n7|0000ABC8|mastdental|articles|soma
7x5pjg85n8|0000ABC871B5|mastdental|articles|soma|C032182B-73C8-42FC-93B4-5CBA686A35F6
mx7taf5gqm|00008E9992D3|mastdental|articles|soma|AC8C2857-4605-4EEE-9C95-0FF7724793DA