
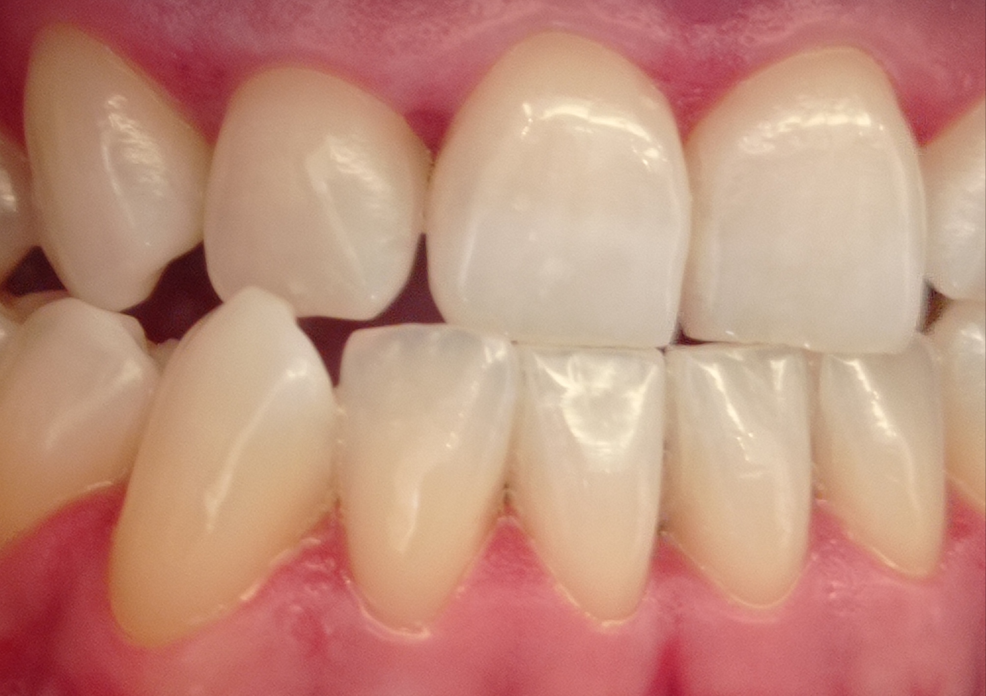
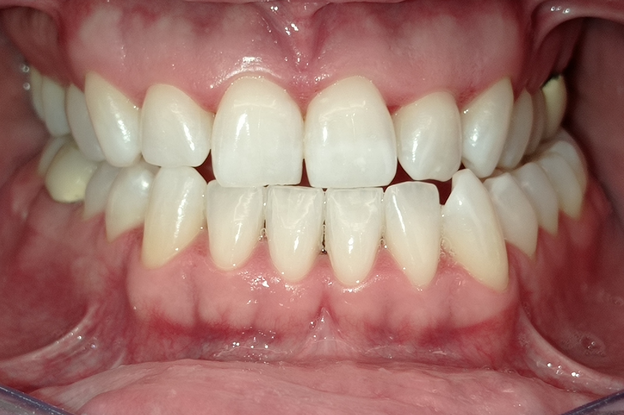
Η λεύκανση, που πολλοί ασθενείς μας ρωτούν και ζητούν, είναι μια καθόλα ευχάριστη, εύκολη και ταχύρρυθμη διαδικασία που εγγυόμαστε το μέγιστο και σταθερό μακροχρόνια αποτέλεσμα, διατηρώντας ταυτόχρονα την φυσικότητα του χαμόγελου και ομορφιάς , χωρίς να προδίδει!
Πώς ;
Μα, πανεύκολα! Το μόνο που χρειάζεται να κάνετε, είναι μας επισκεφτείτε!
Στο πρώτο ραντεβού μας, λαμβάνουμε τα μέτρα - αποτυπώματα - της πάνω και κάτω γνάθου , σύνολο διαδικασίας 10’ μόνο , τα στέλνουμε στο εργαστήριο και τα ναρθηκάκια σας με το υλικό κατ οίκον, είναι έτοιμα για παράδοση, εφαρμογή και οδηγίες!
Η διαδικασία από την ημέρα της παράδοσης, κρατά συνολικά 12 ημέρες και θα δείτε εγγυημένα αποτελέσματα από την 5η μόλις ημέρα εφαρμογής σας.
Πως ξέρω αν μπορώ να κάνω λεύκανση ;
Πολύ απλά και κατανοητά στα παρακάτω σημεία φυσικά
- να μην έχω στο στόμα, πολλές γέφυρες και θήκες
- να μην καταναλώνω πολύ ποσότητα κόκκινου κρασιού, καφέ ή/και τροφίμων όπως παντζάρια
- να μην καπνίζω πολύ κυρίως δε στριφτά τσιγάρα, είτε να μην μασάω καπνό
- να καταφέρουμε για εμένα, μαζί μας, να ελλατώσουμε και προσαρμόσουμε αυτές τις συνήθειες για να προσφέρουμε στον εαυτό μου το δώρο του νέου μου χαμόγελου
Αποστολή μας άλλωστε, να χαμογελάτε ελεύθερα, όμορφα, με αυτοπεποίθηση!
Για εσάς, με εμάς, μαζί σας!
7x5pjg85n7|0000ABC8|mastdental|articles|soma
7x5pjg85n8|0000ABC871B5|mastdental|articles|soma|DA0F51B8-6FC2-43F0-A711-474867BE00C1
mx7taf5gqm|00008E9992D3|mastdental|articles|soma|C61CA90E-1DA6-4386-BE6B-41A1E8A677BD