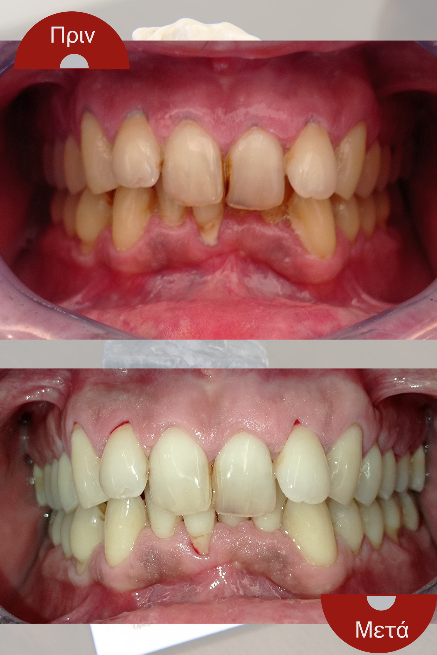
Ο γνωστός σε όλους μας, αγαπημένος και μη, και μη εξαιρετέος καθαρισμός.
Έχουμε ακούσει τις λέξεις πέτρα, ουλίτιδα και περιοδοντίτιδα και πλάκα , μα σίγουρα μόνο πλάκα δεν έχουν, ώντας για την υγεία μας και περίεργες.
Ξενοιάστε, γιατί είμαστε εδώ για μια ταχύρρυθμη και από το χέρι με καρδιά καθοδήγηση!
Τα μικρόβια πολλές φορές στο στόμα μας, επικρατούν και αναπτύσσονται πολλά κακά , παθογόνα , μικρόβια , είτε λόγω συνηθειών, όπως έντονοι καπνιστές, ελλιπές βούρτσισμα και λοιπά είτε λόγω καταστάσεων στο στόμα όπως ‘’ στρίγμωμα των δοντιών ‘’- συνωστισμός -.
Αρχικά προσκολλώνται στα ούλα , εξ ου και η ουλίτιδα, κι αν αφεθούν κατεβαίνουν στο κόκκαλο και ιστούς γύρω από το δόντι - εξ ου και η περιοδοντίτιδα - και τα χαλάνε με αποτέλεσμα την απώλεια δοντιών στην πάροδο του χρόνου.
Αυτό το διαπιστώνουμε με το να δούμε πχ να ματώνουν τα ούλα μας αρχικά στο βούρτσισμα.

Σας άγχωσε η εισαγωγή αυτή , ε ;
Δεν υπάρχει λόγος!
Γιατί ;
Δύο απλοί λόγοι :
-Επισκεφτείτε μας και εμπιστευτείτε μας για ένα πολύ ωραίο και δροσιστικό, αναζωογοννητικό καθαρισμό, με τα πρώτα σημάδια κιόλας , για να διώξουμε μαζί μακριά τα ενοχλητικά εκείνα μικρόβια που μας την σπάνε!
-Θα σας δείξουμε, σε πολύ απλά βήματα, πως να βουρτσίζετε αποτελεσματικά , απλά με μια οδοντόβουρτσα και οδοντόκρεμα, και να κάνουμε μαζί νήμα , γιατί είναι τα μόνα που χρειάζεστε μαζί με τον καλό καθαρισμό.
Ο καθαρισμός συνήθως κρατά ένα ραντεβού , όπου γίνεται και προσωρινή λεύκανση των δοντιών με σοδοβολή για λαμπερό χαμόγελο, και στο δεύτερο χωρίς εννοείται καμία επιπλέον χρέωση, και στα πλαίσια της θεραπείας σας, σας δείχνουμε το σωστό βούρτσισμα.
Αν χρειάζονται παραπάνω ραντεβού λόγω πιο εκτεταμένης εικόνας, το επικοινωνούμε μαζί και διαμορφώνουμε το χρονοδιάγραμμα μας, με άνεση και ηρεμία.
Πάντα δίπλα σας, σε κάθε απορία, σε κάθε βήμα! Ένα μικρό κάθε φορά μαζί, ένα μεγάλο για την υγεία σας στο τέλος!
7x5pjg85n7|0000ABC8|mastdental|articles|soma
7x5pjg85n8|0000ABC871B5|mastdental|articles|soma|9B7BBD57-D086-40C3-9BED-2109E3AC9E7B
mx7taf5gqm|00008E9992D3|mastdental|articles|soma|B4A8CA45-CE62-4BE1-9D83-76CFFA95E065