Σφραγίσματα
Η υγεία δεν πονάει
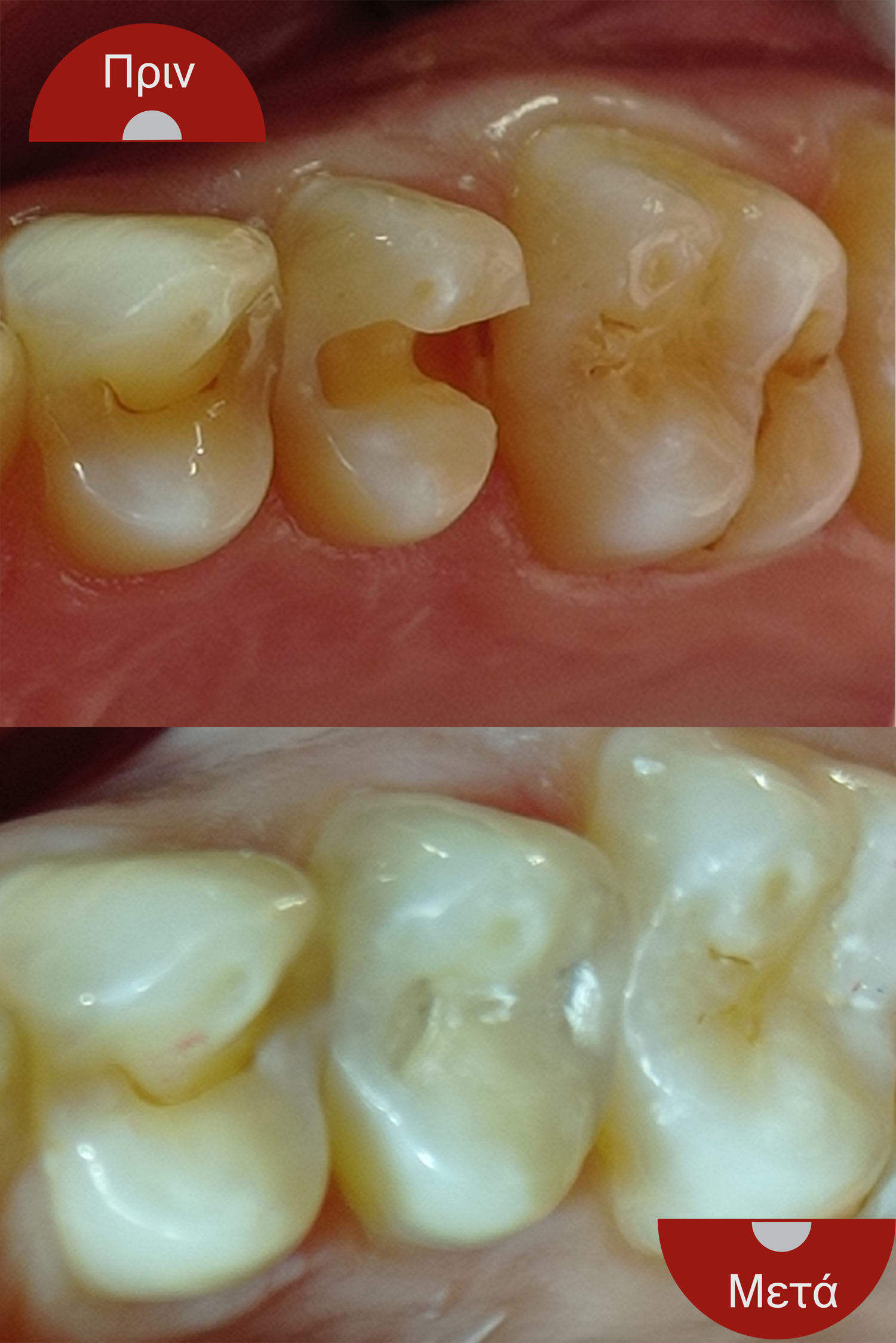
Παρατηρείτε ‘’ μαυράκια ‘’ και ‘’ μαύρες γραμμές ‘’ στα δόντια σας;
Μάλλον τότε , σας χτυπά την πόρτα η τερηδόνα.
Ευτυχώς για εσάς , είμαστε δίπλα σας, άμεσα , γρήγορα, αποτελεσματικά, αισθητικά και πλήρως βιομιμητικά για τα δόντια σας και χαμόγελο σας!
Όταν τα δόντια μας επιβαρύνονται από μικρόβια , τροφές ή/ και φθορές. χρειάζονται σφράγισμα - έμφραξη - , άλλοτε πιο μεγάλο ή μικρό.
Εδώ , ερχόμαστε εμείς για εσάς, να φτιάξουμε τα μαύρα τα σημεία και να τα ζωγραφίσουμε λευκά στο άψε σβήσε, όμορφα και φυσικά, που δεν θα αντιλαμβάνεστε την διαφορά με όποιο άλλο φυσικό δόντι!

Πρόκληση ;
Την δεχόμαστε, αποδεχόμαστε και σας προσκαλούμε με χαμόγελο!
7x5pjg85n7|0000ABC8|mastdental|articles|soma
7x5pjg85n8|0000ABC871B5|mastdental|articles|soma|8A01AACB-4BF4-4258-B5F4-B6798A7738D8
mx7taf5gqm|00008E9992D3|mastdental|articles|soma|8C0DFABA-92A5-4F1F-A9F2-91427A95AE68